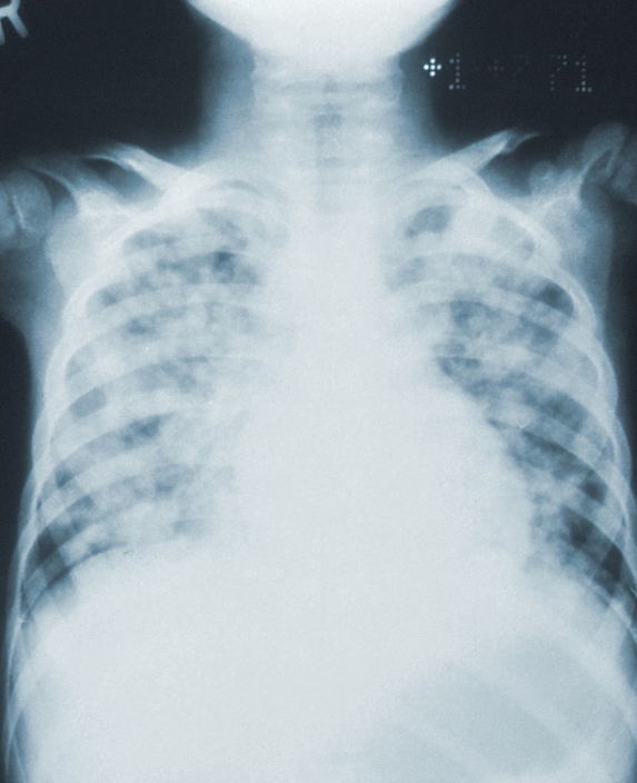
폐렴은 흔하지만 심각할 수 있는 호흡기 질환입니다. 특히 면역체계가 약하거나 만성 질환을 가진 사람들에게 위험할 수 있습니다. 이번 포스팅에서는 폐렴이 무엇인지, 그리고 그 증상을 자세히 알아볼 것입니다. 정확한 지식은 폐렴을 조기에 발견하고 적절한 치료를 받는 데 도움이 됩니다. 그러니 조심스럽게 살펴보고, 여러분의 건강을 위한 필요한 정보를 얻으시기 바랍니다.

폐렴의 주요 증상들
기침
폐렴의 가장 흔한 증상 중 하나는 기침입니다. 때때로 이 기침은 가래를 동반하기도 하며, 그 색깔은 녹색이나 노란색 등 다양합니다. 심할 경우에는 혈담이 섞여 나오기도 하는데, 이는 즉시 전문가의 진료가 필요한 신호일 수 있습니다.


만약 기침이 잦고, 몇 주간 지속된다면, 폐렴을 의심해볼 필요가 있습니다. 기침의 패턴이나 가래의 특성을 잘 관찰하고 의사에게 상세히 알려주는 것이 중요합니다.
발열
폐렴에 걸린 환자는 종종 발열을 경험합니다. 발열은 몸이 감염과 싸우고 있음을 나타내는 반응이며, 이는 신체가 정상적인 체온을 상회하는 것을 말합니다. 열이 날 경우 몸이 떨면서 오한이 들 수도 있으며, 특히 심한 상황에서는 고열로 이어질 수 있습니다.


발열이 있을 때는 충분한 휴식과 수분 섭취가 무엇보다 중요합니다. 지속적이거나 지나치게 높은 온도의 발열은 의사로부터 진단을 받아볼 필요가 있습니다.
호흡 곤란
폐렴이 있는 환자들은 호흡 시 큰 불편함을 느낄 수 있습니다. 심지어 앉아있거나 잠을 잘 때에도 숨을 쉬기 어려움을 호소하는 경우가 많습니다. 호흡 곤란은 폐 기능에 영향을 미치는 폐렴의 질환이 진행 중임을 나타낼 수 있는 중요한 징후입니다.


숨이 차거나 가쁜 호흡은 신체의 다른 부분에도 영향을 미칠 수 있기 때문에 주의 깊게 관찰해야 합니다. 호흡곤란이 있다면 무엇보다도 빨리 의사의 진단을 받는 것이 좋습니다.
흉통
흉통은 폐렴 환자들이 흔히 호소하는 또 하나의 증상입니다. 호흡을 할 때마다 가슴 부분에 통증이 느껴짐으로써, 일상생활에 큰 지장을 줄 수 있습니다. 기침을 할 때마다 더해지는 이 통증은 감염된 부위에 따라 그 정도가 다를 수 있습니다.

가슴이 답답하거나 압박감을 느낄 수도 있는데, 이는 빠른 진료를 요구하는 중대한 증상입니다. 지속되는 흉통이나 심한 통증은 전문의의 상담을 받아보아야 할 신호입니다.
피로감 및 무기력
피로감이나 무기력도 폐렴의 흔한 증상 중 하나입니다. 만성적인 피로감은 환자가 평소보다 더 많은 휴식을 필요로 할 수 있습니다. 단순히 피곤함에서 그치지 않고 일상 활동에 참여하는 데 심각한 어려움을 줄 수 있으며, 이로 인해 삶의 질에 영향을 줄 가능성이 큽니다.


지속적으로 몸이 무겁고 활력을 잃은 느낌을 경험한다면, 몸이 기를 쓰고 있음을 표현하는 신호일 수 있으니 간과해서는 안 됩니다. 피로가 너무 심해지면 즉시 의사의 진단을 받는 것이 현명합니다.
식욕 감소
폐렴은 환자의 식욕에도 영향을 미치곤 합니다. 감염과 싸우느라 신체 에너지를 대부분 소모하게 되어 식욕이 줄어드는 현상이 나타납니다. 이는 영양 상태를 악화시킬 수 있으며 체력 회복에도 도움이 되지 않습니다.

평소에 즐기던 음식들에 대한 흥미가 사라지거나 전반적으로 먹는 양이 줄어든다면, 폐렴으로 인한 가능성을 고려해볼 수 있습니다. 식욕 부진이 계속된다면 병의 진행 상태에 대해 의료진과 상담해봐야 합니다.
혼돈 상태 또는 정신적 혼란
일부 폐렴 환자, 특히 고령의 환자들에게서 혼돈 상태나 심한 정신적 혼란을 나타낼 수 있습니다. 이는 폐렴이 심각한 단계에 이르렀거나, 제대로 치료되지 않았을 때 발생하는 증상 중 하나입니다. 환자가 평소와 다르게 행동하거나 의식이 명료하지 않다면 즉시 전문가와 상담하는 것이 중요합니다.

혼돈이나 혼란 상태는 산소 결핍 또는 감염에 의한 영향이 있을 수 있으며, 신속한 치료가 중요합니다. 가족이나 보호자는 환자의 행동 변화에 주의를 기울이고 필요한 의료 지원을 제공해야 합니다.
결론
폐렴은 그 증상이 다양하며, 각각의 사람에 따라 나타나는 형태가 매우 다를 수 있습니다. 이러한 이유로 위에 언급된 증상들이 모두 나타날 수도, 일부만 나타날 수도 있습니다. 만약 폐렴 증상을 경험한다면, 즉시 의사의 진단을 받아보시고 적절한 치료를 시작하는 것이 좋습니다. 조기 발견과 치료는 폐렴으로 인한 합병증을 예방하고, 신속한 회복으로 이어질 수 있습니다. 오늘은 폐렴 증상에 대해 간략히 알아보았습니다. 도움이 되셨나요?
'생활팁' 카테고리의 다른 글
| 간염 증상에 대해 알아봅시다 (0) | 2024.02.26 |
|---|---|
| 성공하는 사람들의 7가지 습관 책 내용정리 (0) | 2024.02.24 |
| 인삼 효능에 대해 알아보겠습니다 (0) | 2024.01.28 |
| 나폴레옹 전쟁과 나폴레옹의 업적에 대해 알아보겠습니다 (0) | 2024.01.26 |
| 독감 증상에 대해 알아봅시다 (0) | 2024.01.25 |